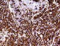
Derinin Histiositik Sarkomu

Derinin Histiositik Sarkomu


Ana sayfa


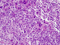
derinin histiositik sarkomu

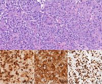
Histiocytic sarcoma-HE

derinin histiositik sarkomu

Histiocytic Sarcoma

derinin histiositik sarkomu

Histological picture of the histiocytic sarcoma. Large atypical cells... | Download Scientific Diagram

derinin histiositik sarkomu

Webpathology.com: A Collection of Surgical Pathology Images

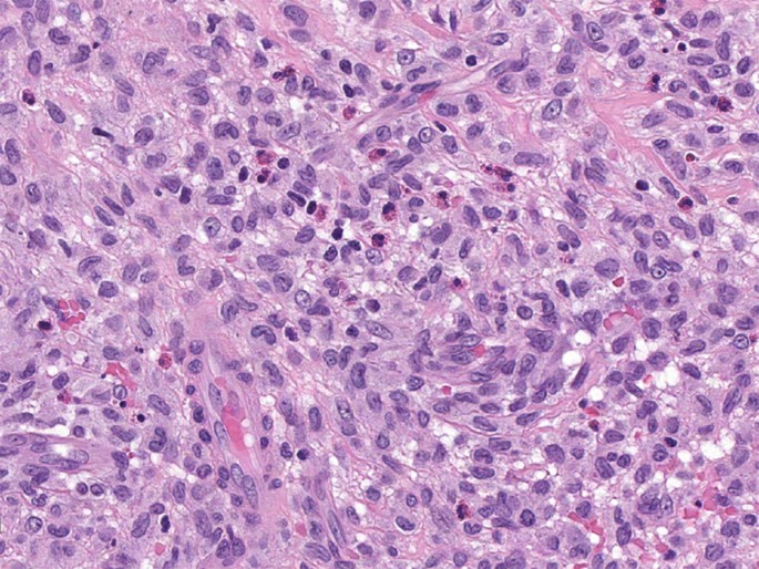
derinin histiositik sarkomu

Diagnostics | Free Full-Text | Histiocytic Sarcoma: Challenging Course, Dismal Outcome

derinin histiositik sarkomu

Histiocytic sarcoma, light micrograph - Stock Image - C046/8725 - Science Photo Library

derinin histiositik sarkomu

Histiocytic sarcoma - dog

derinin histiositik sarkomu

A, Histiocytic sarcoma, characterized by sheets of epithelioid tumor... | Download Scientific Diagram

derinin histiositik sarkomu

Histiocytic sarcoma. Note prominent spindle cell differentiation.... | Download Scientific Diagram

derinin histiositik sarkomu

Focal histiocytic sarcoma; dog 13. a , focal mass lesion in the... | Download Scientific Diagram

derinin histiositik sarkomu

A) Microphotograph of the histiocytic sarcoma cells. At high... | Download Scientific Diagram

derinin histiositik sarkomu

Spleen; dog. Histiocytic sarcoma, histiocytic subtype, with large round... | Download Scientific Diagram

derinin histiositik sarkomu

Histiocytic sarcoma of the lung. a) A large surface-area mass... | Download Scientific Diagram

derinin histiositik sarkomu

Histiocytic sarcoma after acute lymphoblastic leukaemia: a common clonal origin - The Lancet Oncology

derinin histiositik sarkomu

Histiocytic Sarcoma - an overview | ScienceDirect Topics

derinin histiositik sarkomu

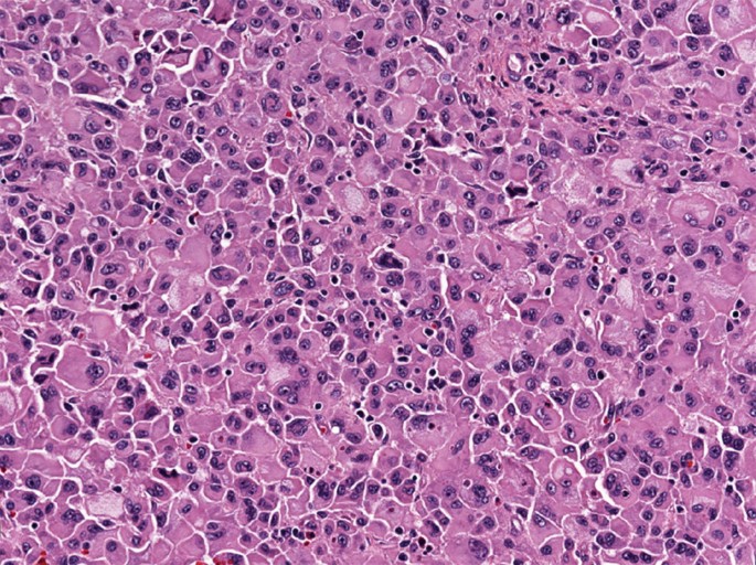
Histiocytic sarcoma. Diffuse proliferation of large round to oval cells... | Download Scientific Diagram

derinin histiositik sarkomu

Histiocytic Sarcoma - an overview | ScienceDirect Topics

derinin histiositik sarkomu

Histiocytic Sarcoma Imaging in Dogs

derinin histiositik sarkomu

Cerebellum. Dog. Case No. 4. Histiocytic sarcoma. Numerous polygonal to | Download Scientific Diagram

derinin histiositik sarkomu

The many faces of mouse histiocytic sarcoma in C57BL/6J mice - Laura J. Janke, Jerold E. Rehg, 2023

derinin histiositik sarkomu

Histiocytic sarcoma as a secondary malignancy: pathobiology, diagnosis, and treatment - Ansari - 2016 - European Journal of Haematology - Wiley Online Library

derinin histiositik sarkomu

Histopathological sample, canine, lung, histiocytic sarcoma. A. Intense... | Download Scientific Diagram

derinin histiositik sarkomu

Histiocytic Sarcoma Complex - Distinctive Syndromes | Histiocytosis / School of Veterinary Medicine

derinin histiositik sarkomu

Histological and immunohistochemical features of histiocytic sarcoma in four domestic ferrets (Mustela putorius furo) - Atigan Thongtharb, Kazuyuki Uchida, James K. Chambers, Yasutsugu Miwa, Yousuke Murata, Hiroyuki Nakayama, 2016

derinin histiositik sarkomu

Histiocytic Sarcoma - an overview | ScienceDirect Topics

derinin histiositik sarkomu

Diagnosis | Cutaneous histiocytic sarcoma | Lab Animal

derinin histiositik sarkomu

Histiocytic sarcoma, light micrograph - Stock Image - C046/8724 - Science Photo Library

derinin histiositik sarkomu

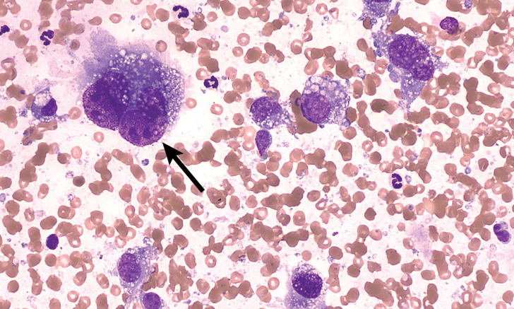
Histiocytic sarcoma. Cytology may be monomorphic as in case #149 (a, by... | Download Scientific Diagram

derinin histiositik sarkomu

Differential diagnosis of systemic ALK- ALCL. (A) Histiocytic sarcoma... | Download Scientific Diagram

derinin histiositik sarkomu

Clonally related histiocytic/dendritic cell sarcoma and chronic lymphocytic leukemia/small lymphocytic lymphoma: a study of seven cases | Modern Pathology

derinin histiositik sarkomu

Microscopic Image Histiocytic Sarcoma Spleen Dog Stock Photo 2322045603 | Shutterstock

derinin histiositik sarkomu

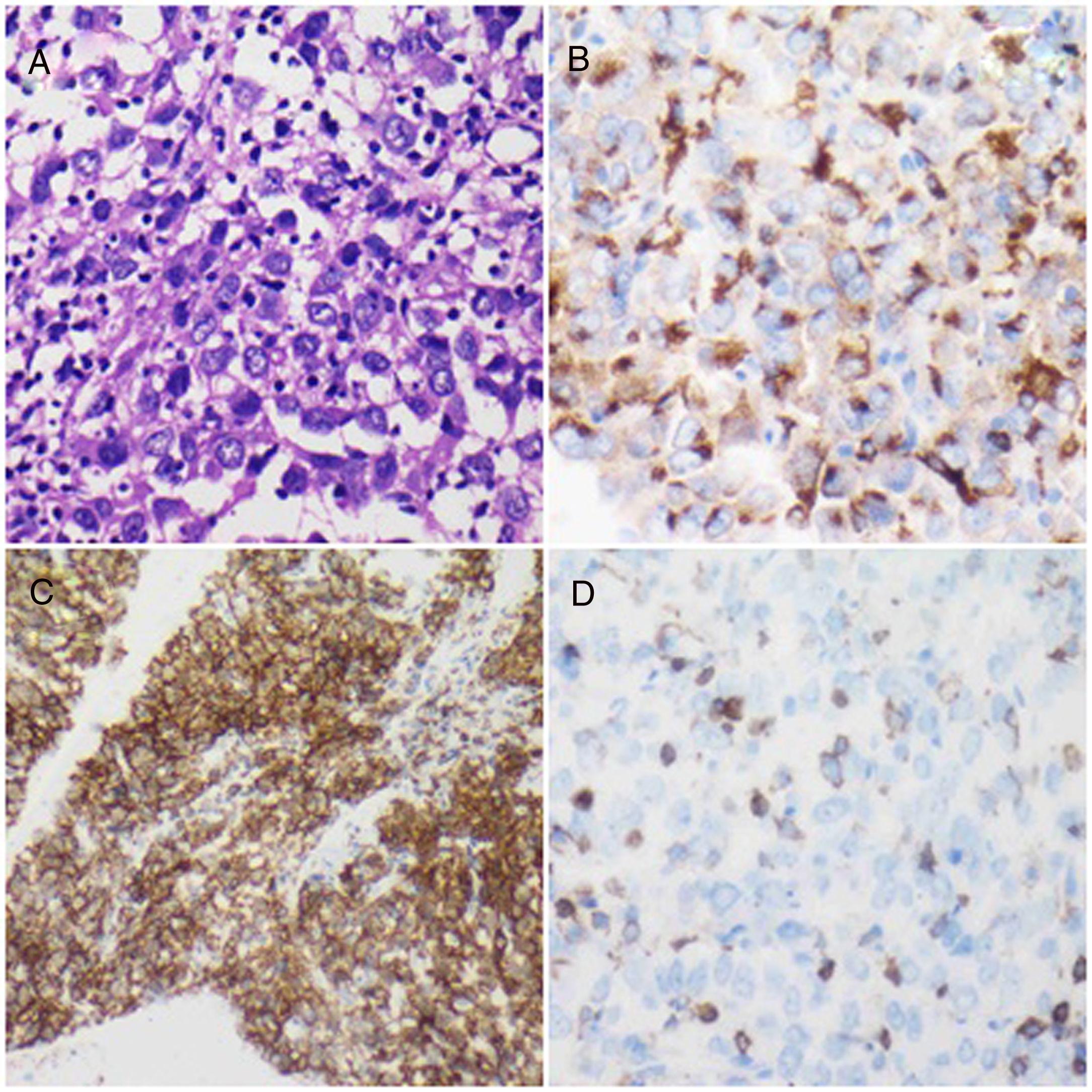
Fig. C-2. Histology and immunohistochemistry of histiocytic sarcoma... | Download Scientific Diagram

derinin histiositik sarkomu

Histiocytic Sarcoma with Central Nervous System Involvement in Dogs: 19 Cases (2006–2012) - Mariani - 2015 - Journal of Veterinary Internal Medicine - Wiley Online Library

derinin histiositik sarkomu

A case of primary histiocytic sarcoma of the central nervous system - ScienceDirect

derinin histiositik sarkomu

Genomic profiling of histiocytic sarcoma: new insights into pathogenesis and subclassification | Haematologica

derinin histiositik sarkomu

An intriguing case of childhood primary bone marrow histiocytic sarcoma: A diagnostic challenge - Srinivasan - International Journal of Laboratory Hematology - Wiley Online Library

derinin histiositik sarkomu

Canine cutaneous histiocytic sarcoma, dog. ( a ) Polygonal to stellate... | Download Scientific Diagram

derinin histiositik sarkomu

Histiocytic sarcoma: a study of five cases including the histiocyte marker CD163 | Modern Pathology

derinin histiositik sarkomu

Webpathology.com: A Collection of Surgical Pathology Images

derinin histiositik sarkomu

V.12, n.3, 9 - Disseminated histiocytic sarcoma in a Labrador retriever in Brazil - BJVP - Brazilian Journal of Veterinary Pathology

derinin histiositik sarkomu

Histiocytic and Dendritic Neoplasms | SpringerLink

derinin histiositik sarkomu

Histological and immunohistochemical features of histiocytic sarcoma in four domestic ferrets (Mustela putorius furo) - Atigan Thongtharb, Kazuyuki Uchida, James K. Chambers, Yasutsugu Miwa, Yousuke Murata, Hiroyuki Nakayama, 2016

derinin histiositik sarkomu

Pilot study of a MEK inhibitor in dogs with histiocytic sarcoma - Clinical Trials Office

derinin histiositik sarkomu

Histiocytic sarcoma: secondary neoplasm or “transdifferentiation” in the setting of B-acute lymphoblastic leukemia

derinin histiositik sarkomu

Histiocytic sarcoma complex - general considerations | Histiocytosis / School of Veterinary Medicine

derinin histiositik sarkomu

Pathology Outlines - Histiocytic sarcoma

derinin histiositik sarkomu

Frontiers | Case report: Targeting the PD-1 receptor and genetic mutations validated in primary histiocytic sarcoma with hemophagocytic lymphohistiocytosis

derinin histiositik sarkomu

Rare Multisystem Histiocytic Sarcoma on 18F-FDG PET/CT | Journal of Nuclear Medicine Technology

derinin histiositik sarkomu

Pathological and Immunohistochemical Features of Subdural Histiocytic Sarcomas in 15 Dogs - Tetsuya Ide, Kazuyuki Uchida, Yumiko Kagawa, Kazuhiko Suzuki, Hiroyuki Nakayama, 2011

derinin histiositik sarkomu

Spectrum of histiocytic neoplasms associated with diverse haematological malignancies bearing the same oncogenic mutation - Kemps - 2021 - The Journal of Pathology: Clinical Research - Wiley Online Library

derinin histiositik sarkomu

Cureus | Successful Treatment of Central Nervous System Histiocytic Sarcoma With Craniectomy and Adjuvant Radiotherapy | Article

derinin histiositik sarkomu

Webpathology.com: A Collection of Surgical Pathology Images

derinin histiositik sarkomu

Histiocytic Sarcoma disease: Malacards - Research Articles, Drugs, Genes, Clinical Trials

derinin histiositik sarkomu

Independent development of lymphoid and histiocytic malignancies from a shared early precursor | Leukemia

derinin histiositik sarkomu

Histiocytic and Dendritic Neoplasms | SpringerLink

derinin histiositik sarkomu

SciELO - Brasil - Pediatric multifocal histiocytic sarcoma- a fatal diagnosis not to miss! Pediatric multifocal histiocytic sarcoma- a fatal diagnosis not to miss!

derinin histiositik sarkomu

Histiocytic sarcoma of the lung. a) A large surface-area mass... | Download Scientific Diagram

derinin histiositik sarkomu

The mutational landscape of histiocytic sarcoma associated with lymphoid malignancy | Modern Pathology

derinin histiositik sarkomu

Cureus | Histiocytic Sarcoma: Clinical Features and Outcomes of Patients Treated at a Tertiary Cancer Care Center | Article

derinin histiositik sarkomu

Histiocytic sarcoma-HE

derinin histiositik sarkomu

Histiocytic sarcoma of the lymph node: a rare and aggressive hematolymphoid malignancy | Hematology, Transfusion and Cell Therapy

derinin histiositik sarkomu

Histiocytic sarcoma hi-res stock photography and images - Alamy

derinin histiositik sarkomu

Histological and immunohistochemical features of histiocytic sarcoma in four domestic ferrets (Mustela putorius furo) - Atigan Thongtharb, Kazuyuki Uchida, James K. Chambers, Yasutsugu Miwa, Yousuke Murata, Hiroyuki Nakayama, 2016

derinin histiositik sarkomu

Histiocytic sarcoma-HE

derinin histiositik sarkomu

Histiocytic sarcoma of the lymph node: a rare and aggressive hematolymphoid malignancy | Hematology, Transfusion and Cell Therapy

derinin histiositik sarkomu

Spectrum of histiocytic neoplasms associated with diverse haematological malignancies bearing the same oncogenic mutation - Kemps - 2021 - The Journal of Pathology: Clinical Research - Wiley Online Library

derinin histiositik sarkomu

Whole exome and transcriptome analysis revealed the activation of ERK and Akt signaling pathway in canine histiocytic sarcoma | Scientific Reports

derinin histiositik sarkomu

Viruses | Free Full-Text | Oxidative Stress in Canine Histiocytic Sarcoma Cells Induced by an Infection with Canine Distemper Virus Led to a Dysregulation of HIF-1α Downstream Pathway Resulting in a Reduced

derinin histiositik sarkomu

Pathology Outlines - Histiocytic sarcoma

derinin histiositik sarkomu

Histiocytic sarcoma-HE

derinin histiositik sarkomu

Histiocytic sarcoma. A Clinical picture showing a subcutaneous nodule... | Download Scientific Diagram

derinin histiositik sarkomu

Pathology in Practice in: Journal of the American Veterinary Medical Association Volume 247 Issue 2 ()

derinin histiositik sarkomu

Histiocytic Sarcoma

derinin histiositik sarkomu

Imaging of Histiocytosis in the Era of Genomic Medicine | RadioGraphics

derinin histiositik sarkomu

Histiocytic and Dendritic Cell Neoplasms | SpringerLink

derinin histiositik sarkomu

Pathology Outlines - Histiocytic sarcoma

derinin histiositik sarkomu

Primary histiocytic sarcoma of the central nervous system: A case report - ScienceDirect

derinin histiositik sarkomu

Histiocytic Sarcoma | Basicmedical Key

derinin histiositik sarkomu

Periarticular histiocytic sarcoma in a domestic rabbit - Bertram - 2021 - Journal of Small Animal Practice - Wiley Online Library

derinin histiositik sarkomu

Pathology Outlines - Histiocytic sarcoma

derinin histiositik sarkomu

Histiocytic sarcoma: a study of five cases including the histiocyte marker CD163 | Modern Pathology

derinin histiositik sarkomu

The many faces of mouse histiocytic sarcoma in C57BL/6J mice - Laura J. Janke, Jerold E. Rehg, 2023

derinin histiositik sarkomu

Flow cytometry confirmation of canine histiocytic sarcoma | Animal Health Laboratory

derinin histiositik sarkomu

Pathology Outlines - Histiocytic sarcoma

derinin histiositik sarkomu

Histiocytic sarcoma | Radiology Reference Article | Radiopaedia.org

derinin histiositik sarkomu

Histological and immunohistochemical features of histiocytic sarcoma in four domestic ferrets (Mustela putorius furo) - Atigan Thongtharb, Kazuyuki Uchida, James K. Chambers, Yasutsugu Miwa, Yousuke Murata, Hiroyuki Nakayama, 2016

derinin histiositik sarkomu

Webpathology.com: A Collection of Surgical Pathology Images

derinin histiositik sarkomu

Cutaneous histiocytic sarcoma with E-cadherin expression in a Pembroke Welsh Corgi dog | Semantic Scholar

derinin histiositik sarkomu

Veterinary Sciences | Free Full-Text | Comparison of the Clinical Characteristics of Histiocytic Sarcoma in Bernese Mountain Dogs and Flat-Coated Retrievers

derinin histiositik sarkomu

Clonally related histiocytic/dendritic cell sarcoma and chronic lymphocytic leukemia/small lymphocytic lymphoma: a study of seven cases | Modern Pathology

derinin histiositik sarkomu

Malignant Histiocytosis Comprises a Phenotypic Spectrum That Parallels the Lineage Differentiation of Monocytes, Macrophages, Dendritic Cells, and Langerhans Cells - Modern Pathology

derinin histiositik sarkomu

Pathology Outlines - Histiocytic sarcoma

derinin histiositik sarkomu

A Rare Case of Histiocytic Sarcoma Secondary to Gastrointestinal Stromal Tumor in the Stomach: Transdifferentiation or Synchronicity?

derinin histiositik sarkomu

Webpathology.com: A Collection of Surgical Pathology Images

derinin histiositik sarkomu

Pathology Outlines - Histiocytic sarcoma

derinin histiositik sarkomu

Undifferentiated pleomorphic sarcoma - Wikipedia

derinin histiositik sarkomu

Case report: Haemophagocytic histiocytic sarcoma in an english setter - Kerboeuf - 2021 - Veterinary Medicine and Science - Wiley Online Library

derinin histiositik sarkomu

Histiocytic sarcoma: secondary neoplasm or “transdifferentiation” in the setting of B-acute lymphoblastic leukemia

derinin histiositik sarkomu

Fig. C-2. Histology and immunohistochemistry of histiocytic sarcoma... | Download Scientific Diagram

derinin histiositik sarkomu

An intriguing case of childhood primary bone marrow histiocytic sarcoma: A diagnostic challenge - Srinivasan - International Journal of Laboratory Hematology - Wiley Online Library